버티컬 AI의 미래: 산업을 재편하는 특화된 지능
버티컬 AI의 미래: 산업을 재편하는 특화된 지능
서론: 버티컬 AI, 새로운 시대의 개막
들어가며: 범용 AI를 넘어, 특화 AI의 시대로
2022년 말, ChatGPT의 등장은 인공지능(AI) 기술의 대중화를 이끌며 전 세계에 거대한 충격을 안겨주었습니다. 누구나 쉽게 사용할 수 있는 생성형 AI는 인간과 기계의 상호작용 방식을 근본적으로 바꾸었고, 이는 AI 기술 개발에 대한 전례 없는 투자와 혁신의 연쇄 반응을 촉발했습니다. NEA 보고서에 따르면, 이 시기를 기점으로 ChatGPT, Perplexity, Claude, Midjourney와 같은 수평적(Horizontal) AI 애플리케이션이 폭발적으로 성장했습니다. 이들은 다양한 산업과 작업에 걸쳐 범용적으로 활용될 수 있는 '넓고 얕은' 지능을 지향하며 AI의 가능성을 세상에 알렸습니다.
그러나 AI 기술이 성숙기에 접어들면서, 시장의 관심은 새로운 방향으로 이동하고 있습니다. 바로 '좁고 깊은' 전문성을 갖춘 **버티컬 AI(Vertical AI)**입니다. 버티컬 AI는 특정 산업(Vertical)이나 특정 기능(Function)이 가진 고유한 문제를 해결하는 데 초점을 맞춘 특화된 AI를 의미합니다. 이는 단순한 기술 트렌드를 넘어, 각 산업의 핵심 워크플로우를 재정의하고 실질적인 비즈니스 가치를 창출하는 '차세대 소프트웨어 타이탄'으로 주목받고 있습니다. 한 분석에 따르면, 과거 기업들이 수평적 확장으로 성장을 추구했다면, 이제는 AI를 통해 특정 영역을 깊게 파고드는 수직적 전략이 새로운 시장 리더를 정의하고 있습니다.
버티컬 AI란 무엇인가?
AI 솔루션은 크게 수평적 AI와 수직적 AI, 두 가지 범주로 나눌 수 있습니다. 이 둘의 차이를 이해하는 것은 AI 시대의 비즈니스 전략을 수립하는 데 있어 매우 중요합니다.
- 수평적 AI (Horizontal AI): RTInsights에서 설명하듯, 수평적 AI는 ChatGPT나 Google Bard처럼 산업이나 기능에 구애받지 않고 보편적으로 사용되는 범용 애플리케이션을 포함합니다. 이들은 이메일 작성, 리서치, 간단한 코딩 등 광범위한 작업을 수행할 수 있지만, 특정 산업의 복잡하고 미묘한 맥락을 깊이 이해하는 데는 한계가 있습니다. 한 국내 매체는 이를 '넓고 얕은' 지능으로 비유합니다.
- 수직적 AI (Vertical AI): 반면, 버티컬 AI는 의료, 금융, 법률, 제조 등 특정 산업이나 인사(HR), 고객 지원 등 특정 기능의 고유한 요구사항과 문제 해결에 집중합니다. Anyword의 CMO 가이드에 따르면, 버티컬 AI는 해당 분야의 전문 지식, 업무 프로세스, 규제 환경, 그리고 특수한 형태의 데이터를 깊이 학습하여 맞춤형 솔루션을 제공합니다. 이는 '좁고 깊은' 전문성을 추구하며, 범용 AI가 해결할 수 없는 복잡한 산업별 과제를 해결하는 데 강점을 가집니다.
예를 들어, 수평적 AI는 고객의 요청에 따라 약속을 잡아줄 수 있지만, Bessemer Venture Partners가 제시한 사례처럼 홈 서비스 산업에 특화된 버티컬 AI는 고객의 문제를 식별하고, 가장 적합한 기술자를 배정하며, 태양광 패널 수리를 위한 최적 경로까지 자동으로 설정할 수 있습니다. 이처럼 버티컬 AI는 산업의 핵심 가치 사슬에 직접적으로 개입하여 효율성과 생산성을 극대화합니다.
이 글의 목표
본 보고서는 버티컬 AI가 가져올 미래를 다각도로 조망하는 것을 목표로 합니다. 첫째, 폭발적으로 성장하는 버티컬 AI 시장의 동향과 투자 흐름을 데이터 기반으로 분석하고, 기존 SaaS 모델을 뛰어넘는 비즈니스 가치와 경쟁우위를 심층적으로 탐구할 것입니다. 둘째, 사용자가 지정한 4대 핵심 산업—의료 및 헬스케어, 금융 및 핀테크, 제조 및 공급망, 교육 및 학습—에서 버티컬 AI가 어떻게 구체적인 혁신을 만들어내고 있는지 실제 기업 사례를 통해 생생하게 전달할 것입니다.
나아가, 버티컬 AI를 뒷받침하는 기술적 기반(미세조정, RAG 등)과 구현 과정의 현실적인 과제, 그리고 AI 에이전트, 인과추론 AI 등 미래 기술 발전 방향을 제시합니다. 마지막으로, 버티컬 AI의 확산이 일자리, 사회적 공정성, 윤리, 규제 등 우리 사회에 미칠 광범위한 영향을 분석하고, 책임감 있는 AI 시대를 열기 위한 제언으로 마무리하고자 합니다. 이 글을 통해 독자들이 버티컬 AI 시대에 대한 포괄적인 인사이트를 얻고, 비즈니스와 사회의 미래를 준비하는 데 도움을 얻기를 바랍니다.
시장 동향 및 비즈니스 가치: 왜 지금 버티컬 AI인가?
핵심 요약
이 섹션에서는 버티컬 AI가 단순한 기술적 가능성을 넘어, 왜 지금 비즈니스와 투자 시장의 핵심으로 부상했는지 시장 데이터와 경제적 가치 관점에서 분석합니다. 버티컬 AI 시장은 폭발적인 성장세를 보이며 벤처 캐피탈의 투자가 집중되고 있으며, 특히 높은 자본 효율성으로 주목받고 있습니다. 또한, 기존 SaaS 모델을 넘어 인건비 예산에 직접 접근하는 새로운 가치 창출 방식을 통해 높은 ROI를 제공하고, 깊은 도메인 지식과 데이터 해자를 기반으로 강력한 경쟁우위를 구축하고 있습니다.
폭발적인 시장 성장과 투자 동향
버티컬 AI는 더 이상 미래의 가능성이 아닌, 현재의 비즈니스 현실입니다. 시장 데이터와 투자 동향은 이를 명확하게 보여줍니다. 전 세계적으로 기업들이 범용 AI의 잠재력을 확인한 후, 이제는 각자의 산업에 특화된 실질적인 솔루션을 통해 경쟁 우위를 확보하려는 움직임이 본격화되고 있습니다.
시장 규모 및 성장률
버티컬 AI 시장은 가파른 성장 곡선을 그리고 있습니다. Global Market Insights의 보고서에 따르면, 전 세계 버티컬 AI 시장 규모는 2024년 102억 달러(약 14조 원)로 평가되었으며, 2025년부터 2034년까지 연평균 성장률(CAGR) 21.6%를 기록할 것으로 전망됩니다. 또 다른 시장 조사 기관인 Market.us는 2024년 시장 규모를 129억 달러로 추산하며, 2034년에는 1,154억 달러에 이를 것으로 예측하여 연평균 24.5%의 성장을 예상했습니다. 이러한 수치는 버티컬 AI가 전체 AI 시장의 성장을 견인하는 핵심 동력 중 하나임을 시사합니다.
VC 투자 집중과 자본 효율성
벤처 캐피탈(VC) 시장의 자금 흐름 역시 버티컬 AI의 부상을 증명합니다. 초기 AI 열풍이 거대 언어 모델(LLM)과 같은 기반 모델(Foundation Model) 개발에 집중되었다면, 이제는 그 기술을 활용해 특정 산업의 문제를 해결하는 버티컬 애플리케이션으로 투자의 무게 중심이 옮겨가고 있습니다. CB Insights의 'AI 100' 보고서에 따르면, 2025년 들어 버티컬 AI 분야 스타트업들이 인프라나 수평적 AI 기업보다 더 많은 투자금(11억 달러)을 유치하며 주도권을 잡고 있습니다. EY는 2025년 1분기 VC 투자가 거대 AI 딜에 힘입어 급증했지만, 투자자들은 점점 더 선별적으로 변하고 있으며, 구체적인 문제를 해결하는 기업에 주목하고 있다고 분석했습니다.
버티컬 AI 스타트업이 투자자들에게 매력적인 이유는 '자본 효율성'에 있습니다. Venture Forward Capital은 기반 모델 기업들이 모델 훈련 비용으로 수억 달러를 모금하는 반면, 버티컬 AI 스타트업은 보통 200만~800만 달러 규모의 시드 투자로 시작하여 빠르게 유료 고객을 확보하고 매출 성장을 이룬다고 설명합니다. Euclid Ventures의 분석에 따르면, MagicSchool이나 Abridge와 같은 버티컬 AI 기업들은 2년 이내에 연간 반복 매출(ARR) 1,000만 달러를 돌파하는 등 기존 SaaS 기업보다 훨씬 빠른 성장 속도를 보이고 있습니다. 이는 버티컬 AI가 명확한 문제 해결과 빠른 시장 검증을 통해 투자금 대비 높은 성장 잠재력을 가지고 있음을 의미합니다.
SaaS를 넘어선 비즈니스 가치: ROI와 경쟁우위
버티컬 AI의 진정한 파괴력은 단순히 기술적 우위에 있는 것이 아니라, 비즈니스 가치를 창출하는 방식을 근본적으로 바꾸는 데 있습니다. 이는 높은 투자수익률(ROI)과 강력한 경쟁우위로 이어집니다.
가치 창출 방식의 전환: IT 예산에서 인건비 예산으로
기존의 수직적 SaaS(Vertical SaaS)는 특정 산업의 워크플로우를 관리하고 자동화하는 소프트웨어를 제공하며 기업의 'IT 예산'을 공략했습니다. 예를 들어, 건설 산업의 Procore나 레스토랑 산업의 Toast가 대표적입니다. 그러나 버티컬 AI는 여기서 한 걸음 더 나아갑니다. Scale Venture Partners는 버티컬 AI가 단순히 소프트웨어를 제공하는 것을 넘어, 보험금 청구 승인, 사기 탐지, 법률 문서 검토와 같은 특정 '업무' 자체를 자동화한다고 분석합니다. 이는 기업의 '인건비(Labor line of a P&L)' 예산에 직접 접근하는 것을 의미합니다.
"Vertical AI는 기업의 P&L(손익계산서)에서 인건비 항목에 접근하며, 이는 기존 IT 지출의 일부만을 차지했던 Vertical SaaS와 비교해 기하급수적으로 큰 예산을 공략합니다." — Bessemer Venture Partners
이러한 가치 창출 방식의 전환은 시장의 크기를 극적으로 확장시킵니다. ScaleVP는 버티컬 AI 공급업체가 자동화된 업무에 해당하는 직원 급여의 25%에서 50% 이상을 가치로 포착할 수 있으며, 이는 기존에 '너무 작아서' 벤처 투자가 어려웠던 틈새시장마저 수십억 달러 규모의 시장으로 탈바꿈시킬 수 있다고 전망합니다. 예를 들어, 과거에는 '법률 소프트웨어'가 하나의 카테고리였다면, 이제는 '교통사고 전문 변호사'만을 위한 버티컬 AI 솔루션이 등장할 수 있게 된 것입니다.
높은 투자수익률(ROI)과 강력한 경쟁우위(Defensibility)
버티컬 AI는 명확하고 측정 가능한 성과를 제공하기 때문에 기업들이 빠르게 도입하고 있습니다. 한 국내 분석 자료에 따르면, 생산성 향상, 비용 절감, 정확도 향상 등 구체적인 성과 창출이 가능해 빠른 채택으로 이어지고 있습니다. 실제 한 의료 AI 플랫폼은 5년간 451%의 ROI를 달성했으며, 이는 방사선 전문의의 시간 절약 가치를 포함하면 791%까지 증가했습니다. 이처럼 높은 ROI는 버티컬 AI 도입의 강력한 동인이 됩니다.
더 나아가, 버티컬 AI는 한번 시장에 진입하면 쉽게 무너지지 않는 강력한 경쟁우위, 즉 '해자(Moat)'를 구축합니다.
- 깊은 도메인 지식 (Deep Domain Knowledge): Bessemer Venture Partners는 버티컬 AI 스타트업이 특정 산업의 미묘한 차이(nuances)와 워크플로우, 그리고 CRM이나 ERP 같은 기존 시스템과의 통합 방식을 깊이 이해하고 있기 때문에, 범용 LLM을 사용하는 수평적 경쟁자들이 복제하기 어려운 경험을 제공한다고 강조합니다.
- 데이터 해자 (Data Moat): 버티컬 AI는 산업별 특화 데이터를 지속적으로 학습하면서 성능이 고도화됩니다. 더 많은 고객 데이터를 확보할수록 모델은 더 정교해지고, 이는 후발주자가 따라잡기 어려운 강력한 진입 장벽으로 작용합니다.
- 높은 전환 비용 (High Switching Costs): 한 분석에 따르면, 버티컬 AI 솔루션은 고객사의 핵심 워크플로우에 깊숙이 통합되기 때문에, 한번 도입한 고객은 다른 솔루션으로 쉽게 이탈하기 어렵습니다. 이러한 '잠금 효과(Lock-in effect)'는 안정적인 수익 기반과 높은 시장 점유율을 유지하는 데 기여합니다.
4대 핵심 산업별 버티컬 AI 혁신 사례 및 전망
핵심 요약
이 섹션에서는 사용자가 지정한 4개 핵심 산업(의료, 금융, 제조, 교육)에서 버티컬 AI가 어떻게 실제 문제를 해결하고 있는지 구체적인 기업 사례와 적용 기술을 통해 심층 분석합니다. 각 산업은 고유의 도전 과제를 안고 있으며, 버티컬 AI는 이러한 과제에 대한 맞춤형 해결책을 제시하며 산업의 패러다임을 바꾸고 있습니다.
의료 및 헬스케어: 정밀 의료와 운영 효율화의 첨병
헬스케어 분야는 버티컬 AI의 잠재력이 가장 크게 발현되는 영역 중 하나입니다. 방대한 의료 데이터, 복잡한 진단 과정, 그리고 인력 부족 문제 등은 AI가 해결할 수 있는 명확한 기회를 제공합니다. Frost & Sullivan Institute는 글로벌 헬스케어 AI 시장이 2021년 110억 달러를 넘어 2030년에는 1,880억 달러에 이를 것으로 예측하며 폭발적인 성장을 전망했습니다. 그러나 이 시장은 FDA의 TPLC(Total Product Life Cycle) 접근법이나 EU의 AI Act와 같은 엄격한 규제와 데이터 거버넌스가 성패를 좌우하는 중요한 변수로 작용하는 특징을 가집니다.
핵심 적용 분야 및 사례
AI 기반 의료 영상 분석 및 진단 보조: 방사선과, 병리과 등 영상 판독은 AI가 가장 두각을 나타내는 분야입니다. AI는 인간의 눈으로 놓치기 쉬운 미세한 패턴을 감지하여 진단의 정확성과 속도를 획기적으로 높입니다.
- Viz.ai: UC Davis Health 병원에 도입된 사례에서 볼 수 있듯, Viz.ai는 AI를 사용해 뇌 CT 영상을 분석하고 대혈관 폐색(LVO)과 같은 뇌졸중 의심 환자를 수 분 내에 식별합니다. 이후 HIPAA를 준수하는 통신 플랫폼을 통해 신경외과 전문의 등 관련 의료진에게 즉시 알림을 보내 '골든타임'을 확보하고 치료 시간을 단축시킵니다. Valley Health System의 신경중재 서비스 책임자인 Dorothea Altschul 박사는 "Viz.ai가 치료 시간을 단축하고 환자 예후를 개선시켰다"고 평가했습니다.
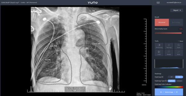
- Aidoc & VUNO: Aidoc은 뇌출혈(ICH), 폐색전증 등 응급 질환을 탐지하고, 영상 판독의 우선순위를 지정하여 방사선과 의사의 워크플로우를 최적화합니다. 한국의 VUNO 역시 VUNO Med®-Chest X-ray™와 같은 솔루션을 통해 흉부 X-ray 영상에서 이상 소견을 탐지하고 점수화하여 의료진의 진단을 보조합니다.
AI 신약 개발: 신약 개발은 막대한 시간과 비용이 소요되는 대표적인 고위험-고수익 산업입니다. AI는 이 과정을 획기적으로 단축시킬 잠재력을 가지고 있습니다.
- Recursion Pharmaceuticals & BenevolentAI: 이들 기업은 AI와 자동화된 실험실을 결합하여 수백만 개의 약물 후보 물질과 세포 반응을 분석합니다. GMInsights에 따르면, Recursion은 Roche, Bayer 등 거대 제약사와 협력하여 신경과학, 종양학 분야에서 신약 개발을 가속화하고 있습니다.
환자 모니터링 및 예측: AI는 환자의 상태를 지속적으로 모니터링하고 위험을 예측하여 선제적인 조치를 가능하게 합니다.
- AITRICS: 한국의 스타트업 AITRICS는 중환자실 환자의 생체 신호를 실시간으로 분석하여 패혈증, 심정지, 사망 등 주요 응급 상황의 발생 위험을 조기에 예측하는 솔루션 'VitalCare'를 개발했습니다. 이는 의료진이 환자 상태 악화에 미리 대응할 수 있도록 지원하여 환자 예후를 개선하는 것을 목표로 합니다.
미래 전망 및 과제
헬스케어 분야의 버티컬 AI는 유전체 데이터와 개인의 라이프로그 데이터를 결합한 초개인화된 치료 계획 수립, AI 기반 로봇 수술의 정교화 등으로 더욱 발전할 것입니다. 하지만 해결해야 할 과제도 명확합니다. 한 전문가 가이드에 따르면, 병원마다 다른 전자건강기록(EHR) 시스템과의 통합 복잡성, 민감한 의료 데이터의 프라이버시 보호, 그리고 AI의 판단 근거를 의료진이 이해하고 신뢰할 수 있도록 하는 설명가능성(XAI, Explainable AI) 확보가 핵심 과제로 남아있습니다. 특히 AI가 생성하는 정보가 사실이 아닌 '환각(Hallucination)' 현상을 방지하기 위해, 의료 특화 데이터셋을 통한 학습과 강력한 검증 메커니즘, 그리고 최종 판단은 인간 전문가가 내리는 '인간-AI 협업' 모델이 중요합니다.
금융 및 핀테크: 초개인화와 리스크 관리의 자동화
금융 산업은 데이터 집약적이며, 정확성과 보안, 규제 준수가 생명인 분야입니다. 버티컬 AI는 이러한 금융 산업의 특성에 맞춰 리스크 관리, 운영 자동화, 고객 경험 혁신을 주도하고 있습니다. MarketsandMarkets는 글로벌 금융 AI 시장이 2024년 383억 달러에서 2030년 1,903억 달러로 성장할 것이라 예측했습니다. 이 분야의 성공은 Aveni의 분석처럼 복잡한 규제를 준수하고 최고 수준의 보안을 충족시키는 능력에 달려 있습니다.
핵심 적용 분야 및 사례
AI 신용 평가 및 대출 심사 (AI-powered Underwriting): 전통적인 신용 평가는 제한된 데이터에 의존하여 특정 그룹에게 불리하게 작용할 수 있었습니다. AI는 이 문제를 해결하는 대안으로 부상하고 있습니다.
- Zest AI: Zest AI는 은행과 신용조합을 위한 AI 자동화 언더라이팅 플랫폼을 제공합니다. 이 플랫폼은 전통적인 신용 점수(FICO)가 부족한 '씬파일러(thin-filer)' 고객들의 통신비 납부 내역, 임대료 지불 기록 등 다양한 대안 데이터를 분석하여 신용도를 더 정확하게 평가합니다. 이를 통해 금융 소외 계층에게 대출 기회를 확대하고, 동시에 연체율은 낮추는 포용적 금융을 실현합니다. Zest AI는 Temenos, nCino와 같은 주요 금융 솔루션 기업과 파트너십을 맺고 자사의 기술을 확산시키고 있습니다.
- HighRadius: The Financial Technology Report가 선정한 2025년 최고의 핀테크 AI 기업 중 하나인 HighRadius는 AI를 사용하여 기업의 미수금 관리, 현금 흐름 예측, 재무 보고서 작성 등 CFO 조직의 업무를 자동화하여 의사결정을 지원합니다.
사기 탐지 시스템 (Fraud Detection System, FDS): AI는 실시간으로 수백만 건의 거래 데이터를 분석하여 비정상적인 패턴을 감지하는 데 탁월한 능력을 보입니다. IBM에 따르면, AI는 고객의 일반적인 소비 패턴에서 벗어나는 거래나 비정상적인 위치에서 발생하는 접속을 즉시 식별하여 신용카드 도용이나 계정 탈취를 예방합니다. 정적 규칙 기반 시스템과 달리, AI FDS는 새로운 사기 수법을 스스로 학습하여 탐지 정확도를 지속적으로 높입니다.
AI 기반 자산 관리 및 로보어드바이저: 로보어드바이저는 AI 알고리즘을 사용하여 고객의 투자 목표, 위험 수용도, 시장 상황 등을 종합적으로 분석합니다. 이를 바탕으로 개인에게 최적화된 포트폴리오를 추천하고, 시장 변화에 따라 자동으로 자산을 리밸런싱해주는 서비스를 저렴한 수수료로 제공하여 자산 관리의 대중화를 이끌고 있습니다.
미래 전망 및 과제
금융 분야의 버티컬 AI는 생성형 AI와 결합하여 고객의 질문에 답하는 챗봇을 넘어, 개인의 재무 상태와 목표에 맞는 금융 상품을 설계하고 추천하는 '초개인화 금융 비서'로 발전할 것입니다. 또한, 복잡한 금융 규제 조항의 변경 사항을 AI가 실시간으로 모니터링하고 내부 통제 시스템에 자동 반영하는 레그테크(RegTech) 분야도 중요한 성장 동력이 될 것입니다. 하지만 Pecan.ai가 지적하듯, 대출 심사나 보험 인수 과정에서 AI 모델이 특정 집단에 불리한 결정을 내리는 '알고리즘 편향' 문제를 해결하는 것이 핵심 과제입니다. 이를 위해 비정형 데이터를 공정하게 활용하는 기술과 AI 결정 과정을 설명하고 감사할 수 있는 체계 마련이 중요합니다.
제조 및 공급망: 자율 운영과 예측 기반 최적화
제조업과 공급망은 인더스트리 4.0과 스마트 팩토리 혁신의 중심에 있으며, 버티컬 AI는 이 변화를 이끄는 핵심 기술입니다. 생산 라인의 효율성 증대, 품질 관리, 복잡한 공급망 최적화 등에서 AI의 역할은 날로 중요해지고 있습니다. 한 시장 보고서는 특히 아시아-태평양 지역이 스마트 제조에 대한 정부 주도 투자와 함께 가장 빠르게 성장하는 시장이 될 것으로 전망했습니다.
핵심 적용 분야 및 사례
예지 보전 (Predictive Maintenance): 설비의 예기치 않은 고장은 막대한 생산 손실과 비용을 유발합니다. 예지 보전은 AI를 통해 이러한 문제를 사전에 방지합니다.
- Augury & SparkCognition: Manufacturing Digital에 따르면, 이들 기업은 생산 설비에 부착된 진동, 온도, 소음 센서 데이터를 실시간으로 수집하고 AI로 분석합니다. 이를 통해 베어링 마모나 모터 결함과 같은 이상 징후를 조기에 감지하고, 고장이 발생하기 전에 유지보수 시점을 정확히 예측합니다. Oracle과 Intel의 연구에 따르면, 예지 보전은 설비 가동 중단 시간을 줄이고 생산성을 높이며 작업장 안전을 개선하는 데 효과적입니다.
AI 기반 품질 검사 (AI-powered Quality Control): 육안에 의존하던 기존의 품질 검사는 작업자의 피로도에 따라 일관성이 떨어지고 미세한 불량을 놓치기 쉬웠습니다. AI 컴퓨터 비전은 이 문제를 해결합니다.
- 한 산업 분석에 따르면, AI 기반 비전 시스템은 생산 라인을 통과하는 제품의 고해상도 이미지를 실시간으로 분석하여 머리카락 굵기의 긁힘이나 미세한 색상 차이까지 정확하게 감지합니다. 이는 반도체, 디스플레이, 자동차 부품 등 고도의 정밀성이 요구되는 산업에서 불량률을 획기적으로 낮추고 품질 일관성을 보장합니다.
공급망 최적화: 현대의 공급망은 예측 불가능한 변수로 가득합니다. AI는 데이터를 기반으로 이러한 불확실성을 관리합니다.
- ViitorCloud의 분석에 따르면, 물류 분야의 버티컬 AI 에이전트는 과거 판매 데이터, 시장 트렌드, 날씨, 이벤트 등 다양한 변수를 분석하여 미래 수요를 정확하게 예측합니다. 또한, 실시간 교통 정보와 배송 차량의 현재 위치를 고려하여 최적의 배송 경로를 동적으로 계산하고, 재고 수준을 모니터링하여 자동으로 재주문 프로세스를 실행함으로써 공급망 전체의 효율을 극대화합니다.
제조 특화 AI 에이전트: AI는 이제 ERP와 같은 핵심 시스템과 결합하여 더 지능적인 역할을 수행합니다.
- Epicor Prism: Epicor는 제조 ERP 시스템과 통합된 버티컬 AI 에이전트 'Prism'을 제공합니다. 이 에이전트는 과거 생산 데이터와 설비 운영 데이터를 학습하여 자재 소요량 계획(MRP)에 필요한 최적의 값을 추천하고, 이를 통해 재고 비용을 줄이고 생산 계획의 정확도를 높입니다.
미래 전망 및 과제
제조 분야의 버티컬 AI는 개별 공정의 최적화를 넘어, 공장 내의 모든 기계와 시스템, 나아가 공급망 전체가 서로 통신하며 스스로 의사결정을 내리는 '자율 운영(Autonomous Operations)' 공장을 향해 발전할 것입니다. 하지만 이를 실현하기 위해서는 한 전문가가 지적하듯, 오래된 공장의 레거시 시스템과 최신 AI 솔루션을 통합하는 문제와, 현장에서 발생하는 비정형 데이터(소음, 진동, 이미지 등)의 품질을 확보하고 표준화하는 기술적 과제를 해결해야 합니다. 또한, 생산 현장의 작업자들이 AI 시스템을 신뢰하고 원활하게 협업할 수 있도록 하는 교육과 변화 관리가 중요합니다.
교육 및 학습: 초개인화 맞춤형 학습 시대의 개막
교육은 '일대다(one-to-many)' 방식의 한계를 극복하고 모든 학생에게 맞춤형 학습 경험을 제공하려는 오랜 목표를 가지고 있습니다. 버티컬 AI는 이 목표를 실현할 가장 유력한 기술로 주목받고 있습니다. Grand View Research는 개인화 학습 경험에 대한 수요 증가와 에듀테크(EdTech) 투자가 맞물려 글로벌 교육 AI 시장이 2030년까지 322억 달러 규모로 성장할 것이라 전망했습니다. 특히 한국은 교육열과 기술 인프라를 바탕으로 교육 AI 시장의 성장이 기대되는 국가로, 한 보고서는 한국 시장이 2033년 19억 달러에 이를 것으로 예측했습니다.
핵심 적용 분야 및 사례
적응형 학습 플랫폼 (Adaptive Learning Platform): 학생 개개인의 학습 속도와 수준에 맞춰 교육 콘텐츠와 경로를 동적으로 조절하는 플랫폼입니다.
- CogBooks & Knewton: CogBooks는 학생이 학습 콘텐츠와 상호작용하는 것을 분석하여, 학생이 무엇을 알고 무엇을 모르는지 파악하고 가장 효과적인 학습 경로를 동적으로 제공합니다. Knewton의 'alta' 플랫폼은 수학, 과학 등 특정 과목에서 학생의 숙련도에 따라 문제 난이도를 실시간으로 조절하며 개인화된 학습을 지원합니다.
- Riiid & Mathpresso(콴다): 한국의 대표적인 에듀테크 기업인 Riiid는 AI 튜터 솔루션을 통해 학생의 문제 풀이 데이터를 분석하여 지식 수준의 변화를 예측하고, 가장 효과적인 학습 콘텐츠를 추천합니다. Mathpresso가 운영하는 '콴다(QANDA)'는 학생이 모르는 문제를 사진으로 찍어 올리면 AI가 이를 분석하여 풀이 과정과 함께 관련 개념, 유사 문제를 제공하여 자기주도 학습을 돕습니다.
지능형 콘텐츠 제작 및 관리: AI는 학습 콘텐츠를 만들고 관리하는 방식을 혁신합니다.
- CLASSUM: CLASSUM은 AI 기반 학습 소통 플랫폼으로, AI DOT이라는 기능이 강의 영상이나 토론 내용을 자동으로 요약하고, 예상 질문과 답변을 생성하여 학습자의 참여를 유도하고 교수자의 부담을 덜어줍니다.
교사 행정 업무 자동화: 교사들은 수업 외에 과도한 행정 업무에 시달리는 경우가 많습니다. AI는 이 문제를 해결하는 데 기여할 수 있습니다.
- 한 국내 언론 보도에 따르면, 학생들의 활동 데이터를 기반으로 학교생활기록부를 작성하거나, 주관식 과제를 채점하고 피드백을 제공하는 등의 반복적인 행정 업무를 AI가 자동화함으로써 교사들이 수업 연구와 학생 지도라는 본연의 업무에 더 집중할 수 있도록 돕습니다.
미래 전망 및 과제
교육 분야의 버티컬 AI는 다양한 학습 데이터를 통합하여 학생의 종합적인 성장을 지원하는 '통합 학습 플랫폼'으로 진화하고, AR/VR 기술과 결합하여 현실감 넘치는 몰입형 학습 경험을 제공하는 방향으로 나아갈 것입니다. 그러나 중요한 윤리적 과제들이 남아있습니다. 일리노이 대학의 분석처럼, AI가 생성하는 정보의 정확성과 편향성 문제는 학생들이 비판적 사고 없이 정보를 수용하게 만들 위험이 있습니다. 또한, 한 교육 전문가는 학생들의 학습 데이터가 어떻게 수집되고 활용되는지에 대한 프라이버시 보호 문제를 심각하게 다루어야 한다고 강조합니다. 미국 교육부 보고서 역시 AI 기술이 교육 불평등을 심화시키지 않도록 공정성을 확보하는 것이 중요하다고 지적하며, 기술의 혜택이 모든 학생에게 돌아갈 수 있도록 신중한 설계와 정책적 노력이 필요함을 역설합니다.
버티컬 AI의 기술적 기반과 미래 발전 방향
핵심 요약
이 섹션에서는 버티컬 AI가 어떻게 만들어지고 작동하는지 기술적 관점에서 분석하고, 향후 기술 발전의 핵심 동력이 될 차세대 기술들을 소개합니다. 기반 모델을 특정 산업 데이터로 미세조정하고, RAG 기술로 정확도를 높이는 것이 핵심입니다. 그러나 기존 시스템과의 통합은 가장 큰 난관이며, 이를 해결하기 위한 다양한 전략이 시도되고 있습니다. 미래에는 자율적으로 업무를 수행하는 AI 에이전트, '왜'를 설명하는 인과추론 AI, 그리고 프라이버시 보존 기술이 버티컬 AI의 발전을 이끌 것입니다.
버티컬 AI를 구현하는 핵심 기술
버티컬 AI의 강력한 성능은 여러 첨단 AI 기술의 융합을 통해 구현됩니다. 범용 AI가 제공하는 강력한 기반 위에 산업별 특화 지식을 쌓아 올리는 방식이 주를 이룹니다.
- 기반 모델(Foundation Models)과 미세조정(Fine-tuning): 대부분의 버티컬 AI는 OpenAI의 GPT 시리즈, Anthropic의 Claude 등과 같은 거대 언어 모델(LLM)을 '두뇌'로 활용합니다. 이 범용 모델을 기반으로, 특정 산업의 고유한 데이터셋(예: 의료 논문, 법률 판례, 금융 보고서, 기술 매뉴얼)을 추가로 학습시키는 '미세조정' 과정을 거칩니다. MakinaRocks의 분석에 따르면, 이 과정을 통해 AI는 해당 산업의 전문 용어, 미묘한 맥락, 고유한 워크플로우를 깊이 이해하게 되어 높은 수준의 전문성을 갖추게 됩니다.
- 검색 증강 생성(RAG, Retrieval-Augmented Generation): LLM의 가장 큰 약점 중 하나는 학습 데이터에 없는 최신 정보를 모르거나, 사실이 아닌 정보를 그럴듯하게 지어내는 '환각(Hallucination)' 현상입니다. RAG는 이 문제를 해결하는 핵심 기술입니다. AI가 사용자의 질문에 답변을 생성할 때, 먼저 외부의 신뢰할 수 있는 데이터베이스(예: 최신 의료 가이드라인, 기업 내부 기술 문서)를 실시간으로 검색하여 관련 정보를 찾아냅니다. 그리고 이 정보를 바탕으로 답변을 생성함으로써, 정보의 정확성과 신뢰도를 획기적으로 높입니다. 한국의 한 에듀테크 기업은 외부 데이터 유출을 막기 위해 로컬 RAG 시스템을 구축하여 보안을 강화한 사례도 있습니다.
- 핵심 기술 요소의 융합: 버티컬 AI는 LLM 외에도 다양한 AI 기술을 필요에 따라 융합하여 사용합니다. GMInsights의 기술별 시장 점유율 분석에 따르면, 머신러닝(36%)이 가장 큰 비중을 차지하며, 딥러닝, 자연어 처리(NLP), 컴퓨터 비전, 로보틱스 등이 산업별 요구에 맞게 결합됩니다. 예를 들어, 제조 분야의 품질 검사 AI는 컴퓨터 비전 기술이 핵심이며, 금융 분야의 챗봇은 자연어 처리 기술에 기반합니다.
성공적인 도입을 위한 구현 전략과 과제
아무리 뛰어난 기술이라도 실제 산업 현장에 성공적으로 적용하는 것은 또 다른 차원의 문제입니다. 특히 버티컬 AI는 기존 시스템과의 조화가 매우 중요합니다.
최대 난관: 기존 시스템과의 통합(Integration)
버티컬 AI 도입의 가장 큰 기술적, 실무적 장벽은 바로 기존 핵심 업무 시스템(System of Record, SOR)과의 통합입니다. Euclid Ventures의 분석을 인용한 한 보고서는 의료 분야의 EHR(전자의무기록), 부동산의 Yardi, 치과의 Dentrix와 같은 레거시 시스템들이 데이터를 독점하고 외부 연동 API를 제한적으로 제공하여 신생 버티컬 AI 스타트업의 시장 진입을 가로막는 가장 큰 요인이라고 지적합니다. AI 솔루션이 제대로 가치를 발휘하려면 이 시스템들에 저장된 핵심 데이터에 접근해야 하지만, 현실은 녹록지 않습니다.
이러한 난관을 극복하기 위해 창업자들은 다음과 같은 현실적인 전략들을 시도하고 있습니다:
- 꼼수(Kludge) 통합: 고객으로부터 ERP나 EHR의 로그인 계정과 권한을 받아, AI 에이전트가 마치 사람처럼 직접 로그인하여 데이터를 읽고 쓰는 방식입니다. 빠르지만 법적, 보안적 리스크가 큽니다.
- 파트너십: 레거시 시스템 공급업체와 공식 파트너십을 맺고 API를 제공받는 정공법입니다. 안정적이지만, 파트너십 협상에 많은 시간과 노력이 소요됩니다.
- 시장 세분화(SMB 집중): API가 비교적 개방적이거나 시스템 교체가 용이한 중소기업(SMB) 시장을 먼저 공략하는 전략입니다.
- ERP와 무관한 영역 공략: ERP 연동이 필수적이지 않은 영역(예: 산업별 AI 세일즈, 고객 지원)에 집중하여 초기 성과를 내는 방식입니다.
- AI 인프라 및 표준 활용: Adept나 OpenAI의 Operator와 같이, AI가 인간처럼 GUI를 보고 시스템을 조작하는 'AI 오퍼레이터' 기술을 활용하여 API 없이도 시스템을 제어하는 새로운 접근법입니다.
데이터 품질과 거버넌스, 그리고 전문 인력
"Garbage in, Garbage out(쓰레기를 넣으면 쓰레기가 나온다)"는 AI 분야의 오랜 격언입니다. Deloitte의 설문조사에 따르면, AI 도입 기업의 40% 이상이 데이터 통합, 정제, 거버넌스 등 데이터 관리의 어려움을 호소합니다. 버티컬 AI의 성능은 양질의 산업 특화 데이터에 의해 좌우되므로, 체계적인 데이터 수집, 정제, 관리 전략 수립이 프로젝트의 성패를 가릅니다. 또한, 하버드 비즈니스 스쿨은 외부 전문가 영입에만 의존하지 말고, 내부 직원들이 AI를 이해하고 활용할 수 있도록 교육하여 '도메인 지식'과 'AI 기술'을 모두 이해하는 융합형 인재를 양성하는 것이 중요하다고 강조합니다.
기술의 진화: 에이전트, 인과추론, 그리고 프라이버시
버티컬 AI 기술은 현재에 머무르지 않고 더욱 지능적이고 신뢰할 수 있는 방향으로 진화하고 있습니다.
- 버티컬 AI 에이전트 (Vertical AI Agents): Y Combinator와 같은 유력 투자사들이 'B2B SaaS'를 '버티컬 AI 에이전트'로 리브랜딩할 만큼, 이 개념은 미래의 핵심으로 부상하고 있습니다. AI 에이전트는 단순히 정보를 제공하거나 분석하는 것을 넘어, 목표를 부여받으면 복잡한 다단계 워크플로우를 자율적으로 계획하고 실행하는 'AI 직원'의 역할을 합니다. 예를 들어, Creatio가 제시한 보험 산업 사례처럼, AI 에이전트는 보험금 청구 서류를 접수하고, 의료 기록을 분석하며, 약관에 따라 보상액을 산정하고, 최종적으로 지급까지 처리하는 전 과정을 자동화할 수 있습니다.
- 인과추론 AI (Causal AI): 기존의 머신러닝은 데이터의 '상관관계'를 찾는 데 집중했습니다. 하지만 상관관계가 항상 인과관계를 의미하지는 않습니다. S&P Global의 보고서에 따르면, 인과추론 AI는 데이터 이면의 '원인과 결과' 관계를 추론하여 "왜" 그런 결과가 나왔는지 설명하는 것을 목표로 합니다. 이는 AI의 결정 과정을 투명하게 만들어주는 '설명가능성(XAI)'을 높여, 금융 리스크 평가나 의료 진단과 같이 결정에 대한 책임이 중요한 고위험(high-stakes) 분야에서 AI의 신뢰도를 획기적으로 개선할 수 있습니다.
- 프라이버시 보존 기술 (Privacy-Preserving Technologies): 버티컬 AI는 매우 민감한 개인정보(의료 기록, 금융 정보)를 다루기 때문에 프라이버시 보호가 무엇보다 중요합니다. 연합 학습(Federated Learning), 차분 프라이버시(Differential Privacy), 동형 암호(Homomorphic Encryption)와 같은 기술들이 이 문제를 해결하기 위해 개발되고 있습니다. 미국 국립표준기술연구소(NIST)는 이러한 기술들이 원본 데이터를 중앙 서버로 보내지 않고 각 로컬 장치에서 모델을 학습시키거나, 데이터에 노이즈를 추가하여 개인을 식별할 수 없도록 함으로써 프라이버시를 보호하면서도 AI 모델을 개발할 수 있게 한다고 설명합니다.
사회적 영향과 윤리적 과제
핵심 요약
이 섹션에서는 버티컬 AI의 확산이 일자리, 사회적 공정성, 규제 등 우리 사회에 미칠 광범위한 영향을 분석하고, 책임감 있는 발전을 위한 과제를 제시합니다. AI는 단순 반복 업무를 자동화하며 일자리의 변화를 촉진하지만, 인간과의 협력을 통해 새로운 가치를 창출할 것입니다. 그러나 알고리즘 편향, 투명성 부족, 프라이버시 침해와 같은 윤리적 딜레마를 해결해야 하며, 이를 위해 각국 정부는 혁신과 책임을 조율하는 규제 프레임워크를 마련하고 있습니다.
일자리 변화: 대체인가, 협력인가?
버티컬 AI의 등장은 필연적으로 일자리의 미래에 대한 질문을 던집니다. 특정 산업의 전문적인 업무를 자동화하는 기술의 발전은 기존 직무의 소멸과 변화를 예고하기 때문입니다. 그러나 비관론만 있는 것은 아닙니다. 오히려 인간과 AI의 새로운 협력 관계가 부상하고 있습니다.
- 단순 반복 업무의 자동화: Creatio의 분석에 따르면, 의료 분야의 서류 작업, 금융 분야의 데이터 입력, 보험 청구의 초기 검토 등 규칙 기반의 반복적인 작업은 버티컬 AI 에이전트에 의해 상당 부분 자동화될 가능성이 높습니다. 이는 해당 업무를 주로 수행하던 직무에 직접적인 영향을 미칠 수 있습니다.
- 인간-AI 협업 모델의 부상: AI가 모든 것을 대체하는 것이 아니라, 인간의 능력을 증강시키는 '협력자(Collaborator)'가 될 것이라는 전망이 지배적입니다. INSEAD 경영대학원의 연구는 성공적인 전문가들이 AI를 경쟁자가 아닌 협력자로 보고, AI가 할 수 없는 복잡한 문제 해결, 학제간 사고, 윤리적 판단과 같은 고유한 인간 역량 개발에 집중하고 있다고 강조합니다. 예를 들어, 의사는 AI의 진단 결과를 검토하고 최종 결정을 내리며, 금융 전문가는 AI의 분석을 바탕으로 고객에게 더 깊이 있는 상담을 제공하게 될 것입니다.
- 새로운 직무의 등장과 리스킬링(Reskilling): AI의 확산은 기존 직무를 변화시키는 동시에 새로운 직무를 창출합니다. AI 모델의 성능을 관리하고 개선하는 'AI 모델 관리자', AI의 윤리적 문제를 감독하는 'AI 윤리 전문가', 특정 산업에 맞는 AI 솔루션을 기획하는 '버티컬 AI 기획자' 등이 새로운 유망 직업으로 떠오를 수 있습니다. 따라서 McKinsey는 기존 인력에 대한 재교육(Reskilling)과 역량 향상(Upskilling)이 기업과 사회의 중요한 과제가 될 것이라고 역설합니다.
윤리적 딜레마: 편향, 투명성, 책임
버티컬 AI는 사회에 막대한 이익을 가져다줄 수 있지만, 동시에 심각한 윤리적 문제를 야기할 수 있습니다. 특히 높은 이해관계가 걸린 산업에 적용될수록 이러한 딜레마는 더욱 중요해집니다.
- 알고리즘 편향(Algorithmic Bias): AI 모델은 학습한 데이터의 패턴을 그대로 반영합니다. 만약 과거 데이터에 특정 인종, 성별, 지역에 대한 사회적 편견이 포함되어 있다면, AI는 그 편견을 학습하고 증폭시킬 수 있습니다. 버클리 하스 경영대학원의 보고서는 AI 대출 심사 모델이 특정 소수 집단에게 불리한 결정을 내리거나, 채용 AI가 특정 성별에 편향된 결과를 보이는 사례를 경고합니다. Nature Digital Medicine에 실린 논문은 의료 AI에서 이러한 편향이 건강 불평등을 심화시킬 수 있다고 지적하며, 모델 개발 전 과정에 걸쳐 편향을 식별하고 완화하는 체계적인 노력이 필요하다고 강조합니다.
- 투명성 및 설명가능성(XAI): AI가 어떻게 특정 결론에 도달했는지 그 과정을 인간이 이해할 수 없다면, 우리는 그 결정을 신뢰할 수 있을까요? 특히 의료 진단이나 법률 판결과 같이 결과에 대한 책임 소재가 중요한 분야에서 AI의 '블랙박스' 문제는 큰 걸림돌입니다. 한 헬스케어 시장 보고서는 의료 전문가들이 AI 기반 의사결정에 투명성을 요구함에 따라 설명가능 AI(XAI)에 대한 수요가 증가하고 있다고 분석했습니다.
- 데이터 프라이버시 및 보안: 버티컬 AI는 의료 기록, 금융 정보, 개인 식별 정보 등 매우 민감한 데이터를 다룹니다. 이러한 데이터가 유출되거나 오용될 경우 개인과 사회에 심각한 피해를 줄 수 있습니다. 따라서 한 교육 전문가는 강력한 데이터 보안 기술과 함께, 데이터 수집 및 활용에 대한 투명한 정책과 엄격한 거버넌스 체계 마련이 필수적이라고 주장합니다.
규제 및 거버넌스 동향: 혁신과 책임의 균형
버티컬 AI의 사회적, 윤리적 문제를 해결하고 책임감 있는 발전을 유도하기 위해 전 세계적으로 규제 및 거버넌스 논의가 활발하게 진행되고 있습니다. 각국 정부는 AI 기술 혁신을 저해하지 않으면서도 잠재적 위험을 통제하는 균형점을 찾기 위해 노력하고 있습니다.
- 글로벌 규제 움직임: 가장 대표적인 사례는 2024년 4월 유럽 의회에서 승인된 EU의 AI 법(AI Act)입니다. 이 법은 AI 애플리케이션을 위험 등급(수용 불가, 고위험, 제한된 위험, 최소 위험)에 따라 분류하고, 특히 공공 서비스나 고용, 신용 평가 등 시민의 기본권에 중대한 영향을 미칠 수 있는 '고위험 AI'에 대해서는 개발 및 배포 전 엄격한 적합성 평가, 투명성 의무, 인간의 감독 등을 요구합니다.
- 국가별 접근 방식의 차이:
- 한국: 한국은 2024년 12월 '인공지능산업 육성 및 신뢰 기반 조성에 관한 법률(AI 기본법)'을 통과시키며 포괄적인 AI 규제 프레임워크를 마련했습니다. 이 법은 산업 진흥을 위한 R&D, 인재 양성, 데이터 인프라 구축을 지원하는 동시에, 고위험 AI에 대한 고지 의무와 신뢰성 확보 조치를 규정하여 '혁신 촉진'과 '안전한 활용' 사이의 균형을 추구합니다. Future of Privacy Forum은 이 법이 2026년 1월부터 본격 시행될 것이라고 전망했습니다.
- 일본: 일본은 서구의 엄격한 규제와는 다른 접근법을 보입니다. Tony Blair Institute의 분석에 따르면, 일본은 '인간 중심(human-centric)' 철학을 바탕으로 'Society 5.0'이라는 국가 비전 아래 고령화와 같은 사회 문제 해결에 AI를 적극 활용합니다. 그러나 동시에 리스크가 높은 분야(예: 국세청의 세금 부과)에는 공정성 우려로 AI 도입을 보류하는 등, 위험도를 고려한 차별화되고 신중한 전략을 취합니다. White & Case는 일본이 2025년 5월 AI 연구 개발 및 활용 촉진법을 제정하며, 구체적인 규제보다는 원칙과 가이드라인을 통해 산업 발전을 유도하는 '소프트 로(soft law)' 접근 방식을 선호한다고 설명했습니다.
결론: 버티컬 AI 시대를 위한 제언
버티컬 AI, 가치 창출의 핵심 동력
지난 몇 년간 ChatGPT와 같은 범용 AI가 기술의 무한한 가능성을 전 세계에 각인시켰다면, 이제 우리는 그 가능성이 산업 현장의 '실질적 가치'로 전환되는 거대한 변곡점을 맞이하고 있습니다. 그 중심에 바로 버티컬 AI가 있습니다. 버티컬 AI는 더 이상 추상적인 개념이 아닌, 의료 현장의 진단 시간을 단축하고, 금융 시장의 리스크를 줄이며, 공장의 생산성을 높이고, 교실의 학습 효율을 극대화하는 구체적인 솔루션으로 우리 곁에 다가왔습니다. 한 투자 전문가가 "AI의 산업화"라고 표현했듯, 버티컬 AI는 각 산업의 깊은 맥락을 이해하고 핵심 문제를 해결함으로써, 이전의 소프트웨어 혁명이 닿지 못했던 영역까지 파고들어 새로운 가치를 창출하는 핵심 동력임이 명백해졌습니다.
성공적인 도입을 위한 기업의 전략
버티컬 AI 시대를 선도하기 위해 기업은 기술 자체에 매몰되기보다, 이를 비즈니스에 성공적으로 통합하기 위한 전략적 접근이 필요합니다. 본 보고서의 분석을 바탕으로 다음과 같은 네 가지 핵심 전략을 제언합니다.
- 문제 중심 접근 (Problem-First Approach): INSEAD의 연구에서 강조하듯, 성공적인 AI 도입은 '어떤 AI 기술을 쓸 것인가'가 아니라 '어떤 비즈니스 문제를 해결할 것인가'에서 출발해야 합니다. 우리 산업, 우리 회사가 가진 가장 고질적이고 중요한 문제를 명확히 정의하고, 버티컬 AI가 그 문제 해결에 어떻게 기여할 수 있는지 구체적인 시나리오를 그리는 것이 첫걸음입니다.
- 데이터 전략 우선 (Data-First Strategy): 버티컬 AI의 경쟁력은 결국 양질의 특화 데이터에서 나옵니다. 한 AI 전략 보고서는 AI 모델을 산업의 특정 언어, 데이터, 운영 뉘앙스에 맞게 조정하는 것이 중요하다고 말합니다. 기업은 자사의 핵심 데이터를 어떻게 수집, 정제, 관리하고, 이를 AI 학습에 안전하게 활용할 것인지에 대한 명확한 데이터 거버넌스와 전략을 우선적으로 수립해야 합니다.
- 인간-AI 협업 문화 조성 (Human-AI Collaboration Culture): AI를 직원을 대체하는 위협적인 도구가 아닌, 직원의 역량을 강화하고 더 높은 가치를 창출하도록 돕는 '파트너'로 인식하는 조직 문화 혁신이 필수적입니다. Randstad의 연구에 따르면, AI가 가치 있는 업무에 집중하게 해줄 것이라고 믿는 리더들이 많으며, 행복한 직원이 13% 더 생산적이라는 결과도 있습니다. AI 도입 과정에서 직원들을 참여시키고, 변화 관리를 통해 AI와 함께 일하는 새로운 방식을 체득하도록 지원해야 합니다.
- 점진적이고 전략적인 확장 (Pilot and Scale Strategy): 처음부터 전사적인 거대 프로젝트를 추진하기보다, 작지만 명확한 성공 사례(Pilot Project)를 만드는 것이 중요합니다. 한 ROI 분석 전문가는 명확한 성공 지표를 설정하고, 파일럿 프로젝트를 통해 구체적인 ROI를 입증한 후, 이를 바탕으로 점진적으로 적용 범위를 확장하는 전략이 리스크를 줄이고 조직의 수용성을 높이는 데 효과적이라고 조언합니다.
미래를 향한 제언
버티컬 AI의 미래는 단순히 더 정교한 알고리즘이나 더 빠른 컴퓨터에 의해 결정되지 않을 것입니다. 그 미래는 기술을 둘러싼 윤리적, 사회적 합의와 신뢰할 수 있는 제도적 기반 위에서 만들어질 것입니다. 알고리즘의 편향성을 최소화하고, 결정 과정의 투명성을 확보하며, 개인의 프라이버시를 철저히 보호하는 책임감 있는 AI 생태계를 구축하는 것은 더 이상 선택이 아닌 필수입니다.
이를 위해 기업은 단기적인 이익을 넘어 장기적인 관점에서 윤리적 AI 원칙을 내재화해야 하며, 정부는 혁신을 장려하되 공공의 안전과 권리를 보호하는 현명한 규제 체계를 설계해야 합니다. 또한, 학계와 연구기관은 기술의 잠재적 위험을 지속적으로 연구하고 사회와 소통해야 합니다. 이처럼 기업, 정부, 학계, 그리고 시민사회가 함께 협력하여 지혜를 모을 때, 버티컬 AI는 비로소 특정 산업의 효율을 높이는 도구를 넘어, 우리 사회 전체를 더욱 공정하고 풍요롭게 만드는 강력한 힘이 될 것입니다. 버티컬 AI가 열어갈 특화된 지능의 시대는 이제 막 시작되었습니다.




댓글
댓글 쓰기